< 详细页

研究:含蒲公英板蓝根的蒲地兰消炎口服液对新冠肺炎或有效

        新冠病毒迅速席卷全球,确诊病例超400万。迄今为止,尚未有疫苗或特效药可防治新冠病毒感染。老药新用是目前的一大思路,来自中国的科研团队发现:蒲地兰消炎口服液对新冠肺炎有疗效。此次新冠抗疫中,中药得到了广泛应用,此前连花清瘟也得到了包括钟南山院士在内的众多专家推荐。

       研究者表示,现有药物在药代动力学、已知的副作用、安全性和给药方案方面相比研发新药具有优势。蒲地兰消炎口服液是一种中药制剂,成分主要是板蓝根(Isatis Indigotica)、苦地丁(Corydalis Bungeana)、蒲公英(Taraxacum Mongolicum)、黄芩(Scutellaria Baicalensis)。

       该研究(Therapeutic efficacy of Pudilan Xiaoyan Oral Liquid (PDL) for COVID-19 in vitro and in vivo)于5月8日刊发在由四川大学华西医院/生物治疗国家重点实验室与施普林格自然出版集团旗下自然科研合办的英文学术期刊《Signal Transduction and Targeted Therapy(STTT)》上。

       该研究团队来自国家卫生健康委员会人类疾病比较医学重点实验室,中国医学科学院医学实验动物研究所,北京协和医学院比较医学中心,新发再发传染病动物模型研究北京市重点实验室。该研究的通讯作者为中国医学科学院医学实验动物研究所,北京协和医学院比较医学中心的鲍琳琳研究员。

       鲍琳琳主攻实验动物学,主要从事流感、MERS经呼吸系统感染的感染性疾病动物模型研制。其课题组在2009年甲流爆发时迅速建立了小鼠和雪貂感染动物模型,并研制了多物种传播预警体系和气溶胶传播预警模型,为新型流感病毒制定和更新风险评估提供现实依据。

       蒲地兰消炎口服液被认为具有清热解毒,凉血化瘀等功能。研究者表示,其还具有很强的抗病毒和抗菌作用,已广泛应用于腮腺炎、咽炎、儿童急性扁桃体炎、急性支气管炎等。此次研究中,研究者通过体外和体内研究评估了蒲地兰消炎口服液抗SARS-CoV-2的效率,认为其可为治疗COVID-19提供借鉴。

       研究者首先比较了在SARS-CoV-2感染的Vero E6细胞中采用蒲地兰消炎口服液与对照组的病毒复制差异。

       如上图所示,半最大效应浓度(EC50,concentration for 50% of maximal effect)= 1.078 mg / mL,半细胞毒性浓度(CC50)= 8.914 mg / mL,针对性指数= 8.27(编注:用于评价某种提取物或化合物的安全性),表明蒲地兰消炎口服液可能有效抑制病毒复制,阻止病毒感染。

       研究者用蒲地兰消炎口服液治疗感染SARS-CoV-2的hACE2转基因小鼠,以显示其潜在的疗效。将12只SARS-CoV-2感染的hACE2小鼠随机分为两组,即蒲地兰消炎口服液治疗组和模型对照组。从病毒接种后1小时开始,通过胃内途径给予小鼠蒲地兰消炎口服液治疗,剂量按照蒲地兰消炎口服液(4μmL/ kg),然后每天1次,持续5天。

       与模型对照组的体重减轻相比,在感染后1天(dpi,p=0.0120),3 dpi(p = 0.0020)和5 dpi(p = 0.0006),经蒲地兰消炎口服液治疗的小鼠的体重相比SARS-CoV-2感染后的对照组有着显著的增加。如下图所示:

       然后,与模型对照组相比,经蒲地兰消炎口服液治疗的SARS-CoV-2感染hACE2小鼠在3 dpi(**** p <0.0001,t = 27.94,df = 4)和5 dpi(p = 0.0021)时,肺中的病毒RNA拷贝显著减少。

       这些数据表明蒲地兰消炎口服液在体外和体内对SARS-CoV-2都具有抑制作用,并且改善了小鼠由病毒复制引起的体重减轻。

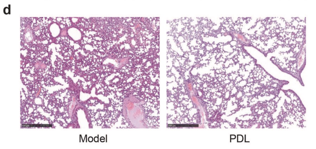
       为了评估蒲地兰消炎口服液抗SARS-CoV-2肺炎的功效,研究者在蒲地兰消炎口服液治疗的小鼠和对照组小鼠中观察到组织病理学变化。在SARS-CoV-2感染的hACE2小鼠中,肺组织在5 dpi时出现弥散性中度肺炎伴间质增生。此外,肺泡间质被炎性细胞增厚,并发现炎性细胞浸润在血管周围。相比之下,经蒲地兰消炎口服液治疗的小鼠的肺组织显示出轻度的间质性肺炎以及少量的炎性细胞浸润,如下图所示:

       对两组的肺部炎症程度进行半定量比较,结果表明,与未治疗的对照小鼠相比,经蒲地兰消炎口服液治疗的小鼠的炎症降低了(p = 0.0034),如下图所示:

       研究者表示,这些数据表明,经蒲地兰消炎口服液治疗后,SARS-CoV-2感染的hACE2小鼠的肺炎得到缓解。

       蒲地兰消炎口服液包含四种草药由181种成分组成。根据治疗目标数据库(TTD)中蒲地兰消炎口服液成分靶向基因的疾病富集分析,蒲地兰消炎口服液对哮喘(p = 2.41E-03),慢性阻塞性肺疾病(p = 2.45E-03)有潜在影响。研究者称,这些与COVID-19紧密相关。自从金花清感颗粒,连花清瘟和疏风解毒胶囊进入《新型冠状病毒肺炎诊疗方案(试行第七版)》,研究者通过DisGeNET挖掘了84个与SARS相关基因和16个共同靶向基因(ACE,IL10,ACE2,IL6,ADAM17,GOT1,MIP,AGT,NFKB1,CCL5,RNase2,FcεR2,TNF,GPT,TPO,IFN-γ ),并通过Venn图分析了蒲地兰消炎口服液、金花清感颗粒、连花清瘟和疏风解毒胶囊。对于STRING分析,蒲地兰消炎口服液和SARS之间的蛋白质-蛋白质相互作用富集,表明这16种蛋白质之间建立了高度特异性的物理接触(p = 3.82E−14)。研究者对这16种蛋白质相关的蒲地兰消炎口服液化合物中的有效成分进行了分析,如下图所示:

       此前曾有研究报告,蒲地兰消炎口服液可通过蛋白质-代谢物网络减轻肺的病理损伤并减少血清中的促炎细胞因子,例如IL-10和TNF-α。 在这项研究中,IL-10和TNF-α被包括在16种靶向蛋白中。 但是,这些蛋白是否参与免疫介导的抗炎和抗病毒过程还需要进一步的实验数据。

       因此,研究者称,该结果结合生物信息学和网络药理学分析表明,蒲地兰消炎口服液在体外和体内均表现出有效的抗SARS-CoV-2活性,并对患者有更好的结局,可在临床上单独用于治疗或与其他有效抗病毒药物合用。