香港大学构建全球首个蝙蝠肠道类器官,证实新冠能够感染肠道

日期:2020年05月15日 来源: 作者:系统管理员 【打印】 【关闭】

        此前的全基因组序列分析显示:SARS-CoV-2与在中华菊头蝠中鉴定出的SARS相关冠状病毒具有高度同源性。然而研究蝙蝠冠状病毒目前遇到了一个局限:缺少可用于研究蝙蝠病毒的实验室模型。最新研究显示,港大团队已经构建了全球首个蝙蝠肠道类器官,填补了这一空白。研究发现,这些蝙蝠肠道类器官对SARS-CoV-2完全易感,并能维持强大的病毒复制能力。
        研究者在实验室中制造了小型化、简单版的肠道类器官,该类器官源自中华菊头蝙蝠(Rhinolophus sinicus),模拟了蝙蝠肠上皮的细胞组成。该研究提供了SARS-CoV-2可以感染蝙蝠肠细胞的证据。该研究还进一步证明了SARS-CoV-2能在人肠类器官中的主动复制,同时从腹泻的新冠患者粪便中分离出具有传染性的新冠病毒。人肠道可能是SARS-CoV-2的传播途径。
        当地时间5月13日,《自然-医学》发表了来自香港大学的研究:Infection of bat and human intestinal organoids by SARS-CoV-2,展示了这一科研进展。该研究的通讯作者为香港大学李嘉诚医学院微生物系周婕。
        之所以研究肠道对新冠病毒的易感情况,在于一些COVID-19患者的胃肠道症状以及粪便标本中病毒RNA检测表明,SARS-CoV-2除感染呼吸道外,还可能感染肠道。
        COVID-19的常见症状包括发烧、咳嗽、呼吸急促、肌肉酸痛和疲劳。一些患者有胃肠道症状,例如恶心、呕吐和腹泻。在患者的呼吸道和粪便标本中检测到病毒RNA。全基因组序列分析显示,在蝙蝠体内发现与严重呼吸综合征相关冠状病毒(SARSr-CoVs)的SARS-CoV-2病毒簇,SARS-CoV-2与蝙蝠冠状病毒BatCoV RaTG13的同源性为96%,与另外两个蝙蝠的SARSr-CoV的同源性为88% (Bat-SL-CoVZC45和Bat-SL-CoVZXC21),这表明SARS-CoV-2可能起源于蝙蝠。
        近年来越来越多的事件引发外界注意,蝙蝠是各种病毒(尤其是RNA病毒)的天然“蓄水池”,这些病毒会导致人畜共患严重疾病。SARS-CoV在2003年引起非典疫情,科学家们开始广泛搜索SARS-CoV病毒的祖先,最终从中华菊头蝠的粪便标本或肛门拭子中发现了大量相关的冠状病毒。然而,这些发现通常取决于使用分子方法对病毒基因组或基因组片段的检测。迄今为止,除了使用干扰素(IFN)-缺陷Vero E6或Vero细胞分离出的三株病毒和一株遗传合成病毒之外,大多数鉴定出的蝙蝠SARSr-CoV尚未成功分离和培养。
        中华菊头蝠被认为是SARS-CoV的天然宿主。然而,在这些蝙蝠中没有与严重呼吸综合征相关冠状病毒(SARSr-CoV)感染的直接证据,这可能是由于该流行病具有急性和自限性感染的性质,也可能是由于这些病毒的季节性波动,另外在野外也难以接触到这些动物。因此,能够真实代表天然蝙蝠细胞的的体外模型,是目前科学界分离和研究蝙蝠病毒(包括蝙蝠SARSr-CoV)的主要障碍,而这些蝙蝠病毒具有很高的人畜共患病潜力。
        在过去的十年中,人类在建立类器官上取得了重大突破。基于干细胞(ASC)的类器官培养系统已经可以建立大多数人体器官,包括人类肠道类器官和肺类器官的。诱导后的肠道类器官可以忠实地模拟人肠道上皮的多细胞组成和功能复杂性。由于人类胃肠道是微生物入侵的最常见途径之一,因此人类肠道类器官已成为模拟肠道感染的重要体外工具。在这项研究中,研究者试图建立蝙蝠肠上皮的基于干细胞的类器官培养。研究者认为蝙蝠类器官可能有助于实验探测新冠病毒的潜在来源。此外,研究者调查了SARS-CoV-2通过人类肠道感染的可能性。
        考虑到SARS-CoV-2和蝙蝠SARSr-CoV的高度同源,以及在菊头蝙蝠的粪便标本中也能发现SARSr-CoV,研究者尝试使用菊头蝙蝠肠道分离出的隐窝,如下图所示:


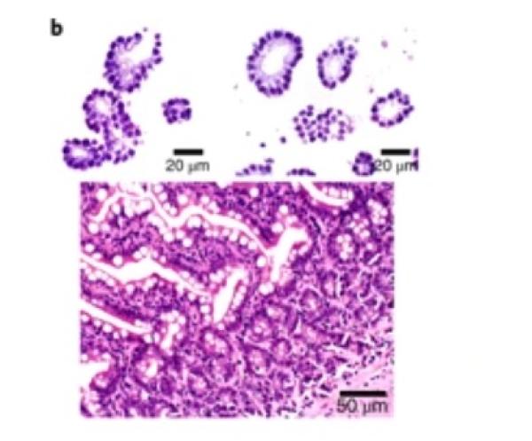
        用来建立肠道类器官培养物。研究者使用建立人肠道类器官的实验流程成功地建立了蝙蝠的小肠类器官。未分化的蝙蝠肠溶质在培养基中繁殖,为了诱导分化,研究者将扩张培养基替换为分化培养基,在其中将类器官孵育4天。分化的蝙蝠肠样物能模拟天然蝙蝠小肠上皮的多细胞组成,如下图所示:


        使用透射电子显微镜,研究者在分化的蝙蝠肠样中鉴定出具有四种主要肠道细胞类型特征的细胞,包括肠上皮细胞(E),杯状细胞(G),潘式细胞(P)和肠内分泌细胞(EE),如下图所示:


        尽管有一条蝙蝠小肠类器官连续扩增了12周,但其他四条蝙蝠小肠类器官在4或5周后就停止了活性增殖,可作参照的是,人的肠类器官可以连续扩展至少1年。尽管如此,研究者还是建立了第一个模拟蝙蝠肠上皮细胞组成的蝙蝠肠类器官。
        作者进而评估了这种类器官是否易感SARS-CoV-2,发现它们能够维持病毒复制。
        值得注意的是,随着时间的推移,在蝙蝠和人的小肠的培养基中观察到病毒载量大大增加,如下图所示:


        研究者从感染的蝙蝠类器官收集的培养基随后接种到人类器官中,而不是蝙蝠类器官中,因为研究者打算将新鲜培养基接种到最早可用的类器官中,以最大程度地分离病毒。 从第一轮分离中接种培养基后,观察到培养基中病毒载量大大增加,超过3个log单位,如下图所示:


        免疫荧光染色验证了在人小肠类器官中病毒核衣壳蛋白(NP)阳性细胞的存在:


        这表明SARS-CoV-2可以感染蝙蝠肠细胞,如此重现了蝙蝠肠内的自然感染情况。
        周婕等人还调查了人类的肠类器官是否易感SARS-CoV-2,结果在肠道内也观察到了病毒复制。研究者还尝试从腹泻COVID-19患者的粪便样本中分离病毒。一名68岁的女性患者在香港玛格丽特公主医院入院后出现发烧、喉咙痛和咳嗽并出现腹泻。她的粪便样本的RT-qPCR呈SARS-CoV-2阳性,Ct值为33.6。研究从她的粪便标本中分离出了传染性病毒)。从患者粪便中分离出传染性病毒,表明发生了SARS-CoV-2肠道感染。
        作者表示人类肠感染发生的确切途径还不清楚,但是这可能代表了一种新的病毒传播途径。

分享到: